
















与压力、生活习惯、饮食作息等有关。压力大,体内分泌过盛,油脂分泌物阻塞的毛囊滋生细菌,外加饮食作息时间不规律、喜欢留各种刘海、电脑辐射、个人卫生习惯等造成新陈代谢功能减弱,额头就会形成痘痘。

一个人生活中易怒,经常发脾气,那么这个人左脸颊长痘痘的情况是比较常见的,怒伤肝,左脸颊长痘痘的患者肝功能肯定不好,有热毒。

左脸与右脸长痘痘反应身体的情况都不相同,右脸颊长痘痘的患者一般为肺功能失常。症状为经常出现双颊浮肿、毛细血管爆裂这些现象,就是因为皮肤含氧量不足之故。

双眉间长痘痘即我们说的印堂痘,有印堂痘的患者体外症状有:胸闷,心律不整,心悸。

鼻梁:可能脊椎骨出现问题。除此之外,油脂分泌过盛、缺水也都是主要因素。
鼻头:长在鼻头处,是胃火旺,或消化系统异常。
鼻头两侧:就可能与卵巢机能或生殖系统有关。
鼻翼:新陈代谢不佳,生殖系统疾病

食用过多辛辣、刺激等食物导致上火,刺激皮肤毛囊皮脂腺过多的排泄油脂,再加上嘴巴周围本身属于油脂分泌旺盛的三角区,很容易造成毛孔堵塞,皮肤排泄负担加重引发痘痘。

下巴长痘痘很可能是体内性激素分泌失衡(大多女性朋友月经前会出现这类状况),或长期使用含氟量大的牙膏诱发,但主要原因是下巴皮肤出现了问题,皮肤皮脂腺细胞过度分泌皮脂所致。

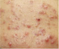
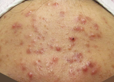
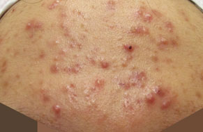
由于胸背部肌肤清洁不便,且角质层比脸部厚,多数人很少给胸背部肌肤去角质,加上汗湿衣服得不到及时换洗,长时间贴在皮肤上易滋生细菌,使之感染,胸背部皮脂腺较发达,分泌过旺堵塞毛孔,容易产生痘痘。












由于版面有限,更多康复案例可到医院观摩或